煥新笑容的全瓷美學貼片
全瓷貼片治療流程
| Step1初診諮詢 | |
|
|
| Step2收集資料 | |
|
|
| Step3貼片取模 | |
|
| Step4正式裝戴 | |
|
全瓷美白貼片・冷光美白・噴砂美白比較
| 全 瓷 貼 片 | 冷 光 美 白 | 噴 砂 美 白 | |
|---|---|---|---|
| 改善外觀 | 可以客製指定齒色,且不會染色 進行牙齒微整形,打造微笑曲線 針對由內而外發出的四環黴素染色為最佳療程。 |
以藥劑與特殊波長的冷光結合,清除牙齒表面與深層的色素,產生氧化還原反應達到美白 可以改善原生齒的色階。 |
使用牙科噴砂機,以高壓水柱和砂粒(碳酸氫鈉等),清除牙齒表面凹洞以及牙齒接縫處的染色 恢復原本齒色。 |
| 保留齒質 | 需修磨極少的齒質, 由專業醫師精準修磨以保留更多原生齒。 |
對琺瑯質與齒質結構不會有影響。 | 以物理方式清除色素沈積,亦不傷害琺瑯質。 |
| 維持壽命 | 維持日常清潔保養, 將有大於 10~15 年的使用壽命,甚至一輩子 為一勞永逸的美白療程。 |
依個人體質、飲食與生活習慣有所差異 僅能以避免食用深色食物、日常清潔保養維持 可能有再次染色的問題。 |
依個人體質、飲食與生活習慣有所差異 僅能以避免食用深色食物、日常清潔保養維持 可能有再次染色的問題。 |
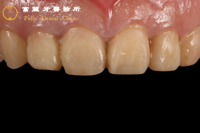
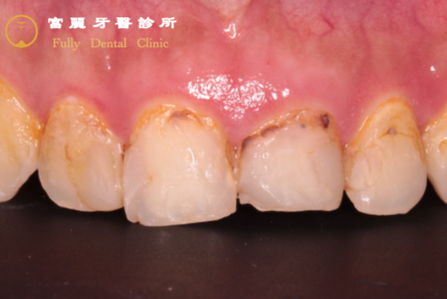
案例展示

術前評估/Before

術後改善/After
案例1
Before
牙齒型態比例不理想、牙縫過大、齒色不均。
After
牙齒型態比例、牙縫、齒色達到理想狀態,打造專屬的微笑門面。

術前評估/Before

術後改善/After
案例2
Before
長期喝紅酒的習慣,導致牙齒受到染色,讓患者對笑容愈來愈沒有自信。
After
醫師建議使用美白全瓷貼片改善,讓患者擁有明星般亮白的齒色,以及耀眼的微笑曲線!加上全瓷貼片不會因為飲食而造成再次染色,不會再因為喝紅酒而造成困擾!

術前評估/Before

術後改善/After
案例3
Before
門牙型態缺損不理想、牙縫過大。
After
患者與醫師討論後,決定使用全瓷貼片調整門牙的角度,進行門牙的微整形。經過專科醫師的設計與診療後,門牙型態與牙縫達到理想狀態,讓患者擁有自信的笑容!

術前評估/Before

術後改善/After
案例4
Before
因為不小心咬到硬物,導致門牙出現裂紋...該怎麼辦?
After
醫師評估裂紋的深度後,發現可以透過修裂紋所在的牙齒表層,以全瓷貼片修復原生齒,儘可能地保留原生齒的比例,不僅保護了原生齒,也不影響門牙的型態與美觀!

術前評估/Before

術後改善/After
案例5
Before
前牙因為樹脂填補物吸收食物的顏色而染色,導致齒色不均,加上牙齒型態與高低不一致,笑起來不美觀的時候怎麼辦?
After
經過醫師的設計與雙向討論後,透過牙冠增長術的方式將前牙修至同等高度,以全瓷貼片貼復於原生齒上,達到牙齒微整形的效果,笑起來更有自信!

術前評估/Before

術後改善/After
案例6
Before
正門牙因為牙齒型態不理想與高低不一致,笑起來不美觀的時候怎麼辦?
After
經過醫師的設計與雙向討論後,透過牙冠增長術的方式將前牙修至同等高度,以全瓷貼片貼復於原生齒上,達到牙齒微整形的效果,笑起來更有自信!

術前評估/Before

術後改善/After
案例7
Before
矯正後又出現輕微的開咬,除了二次矯正之外,還有什麼方式可以改善這個問題呢?
After
經過醫師的設計與雙向討論後,透過全瓷貼片貼復於原生齒上,達到牙齒微整形的效果,改善輕微開咬的問題,同時也讓原本較暗黃的齒色變成自然白的顏色,笑起來更有自信!