為什麼需要植牙?
3D 動態導航植牙流程
| Step1初診諮詢 | |
|
| Step2術前準備 | |
|
| Step3導航植牙 | |
|
| Step4牙冠取模 | |
|
| Step5完成植牙 | |
|
植體・植牙設備・牙冠・專業技術比較
| 富 麗 牙 醫 植 牙 | 他 家 低 價 植 牙 | |
|---|---|---|
| 植體 | 頂規瑞士品牌 StraumannⓇ 原廠植體 為「 國際植牙醫學會 」( ITI ) 唯一指名合作夥伴 具長期臨床實證背書、高度市占率的高品質植體系統。 |
植體來源不明 多為強度不足、受力不足易斷裂且壽命短的植體。 |
| 術前治療計畫 | 由具十年以上經驗的國際口腔植體專科醫師 依您的口腔狀況、全身健康及美觀設計考量 討論專屬的數位治療計畫。 |
多為初入臨床的醫師 [ 醫師在植牙手術過程的精準度、安全性、舒適度,以及術後降低您的不適感、完美癒合的能力,至少需要 5~8 年以上、百餘台手術的歷練。 ] |
| 術中使用設備 | 嚴選 X-Guide 3D 動態導航,搭配電腦斷層掃描影像 透過光學定位系統即時導航植體植入過程、警示安全範圍 輔助專科醫師掌握術中一切,達到精準・安全・舒適的植牙。 |
傳統徒手施作或靜態導板輔助 全然依照醫師經驗與技術來確認植體的位置與方向 且術中需多次移動拍攝 X 光以確認植體位置。 |
| 牙冠 | 材質選用全鋯冠 其抗彎曲度、抗斷裂強度為最高的全瓷材料 同時擁有美觀的自然透光度,以及強大的受力度。 |
使用低價且壽命短的牙冠材質 甚至可能在牙冠壽命將盡的時候,影響口腔與身體健康。 |
案例展示

術前評估/Before

術後改善/After
案例1
Before
原本套上牙套的牙根因為長時間沉重的咬力而整個劈開,加上對咬合功能十分重要的大臼齒缺失,造成患者的咀嚼能力大大降低,因此決定以植牙來恢復!
After
將無益於咬合功能的智齒與牙根已劈開的大臼齒拔除後,在缺牙處植入人工牙根(透過3D植牙導航儀植入深螺旋高階植體),再裝上擬真全瓷牙冠復形,以高穩定度與高強度的人工牙根和牙冠修復咬合功能,不再受缺牙所苦!

術前評估/Before

術後改善/After
案例2
Before
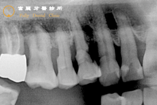
包覆牙根的骨頭(灰色網狀)在最後一顆大臼齒的位置被細菌破壞得非常嚴重(黑色的範圍),缺少骨頭支撐的牙齒會開始出現晃動,當骨頭被破壞得範圍愈來愈大,牙齒便會整顆脫落。晃動所造成咀嚼能力的下降,讓患者決定以植牙來恢復!
After
將牙根移除後,先填補上人工骨粉,讓剩餘的骨頭沿著人工骨粉生長回來;在缺牙處植入人工牙根(透過3D植牙導航儀植入深螺旋高階植體),再裝上擬真全瓷牙冠復形,以高穩定度與高強度的人工牙根和牙冠修復咬合功能,透過日常清潔和定期檢查,就像自己的牙齒重生一樣!

術前評估/Before

術後改善/After
案例3
Before
牙根斷裂且包覆牙根的骨頭(灰色網狀)被細菌破壞(黑色的範圍),牙齒會開始出現晃動無法支撐咬合,尤其發生在對咬合功能十分重要的大臼齒,造成患者的咀嚼能力大大降低,因此決定以植牙來恢復!
After
將牙根移除後,先填補上人工骨粉,讓剩餘的骨頭沿著人工骨粉生長回來;在缺牙處植入人工牙根(透過3D植牙導航儀植入深螺旋高階植體),再裝上擬真全瓷牙冠復形,以高穩定度與高強度的人工牙根和牙冠修復咬合功能,不受缺牙所苦!

術前評估/Before

術後改善/After
案例4
Before
缺牙在對咬合功能十分重要的大臼齒,造成患者的咀嚼能力大大降低,讓患者決定以植牙來恢復!
After
在缺牙處植入人工牙根(透過3D植牙導航儀植入深螺旋高階植體),再裝上擬真全瓷牙冠復形,以高穩定度與高強度的人工牙根和牙冠修復咬合功能,不受缺牙所苦!

術前評估/Before

術後改善/After
案例5
Before
牙冠斷裂只剩殘根、包覆牙根的骨頭(灰色網狀)被細菌破壞(黑色的範圍),缺牙的位置在前牙美觀區且在對咬合功能十分重要的大臼齒,造成患者的咀嚼能力大大降低,讓患者決定以植牙來恢復!
After
將牙根移除後,先填補上人工骨粉,讓剩餘的骨頭沿著人工骨粉生長回來,穩定地基;在缺牙處植入人工牙根(透過3D植牙導航儀植入深螺旋高階植體),再裝上擬真全瓷牙冠復形,以高穩定度與高強度的人工牙根和牙冠修復咬合功能,恢復前牙美觀及咬合功能!